Leistungen

Unsere Leistungen

Die Zahnmedizin hat in den vergangenen Jahrzehnten wichtige Fortschritte gemacht, die in unserem Praxisalltag und unserem Behandlungsspektrum selbstverständlich sind. Die Möglichkeiten, Weiterentwicklungen und Alternativen zu bewährten Konzepten machen vor allem die erste Leistung des Zahnarztes notwendig:

Die gewissenhafte Untersuchung, Aufklärung und Beratung. Für jeden Menschen und sein individuelles Problem gibt es eine passende individuelle Lösung. Erläuterungen zu den modernen Behandlungsmethoden unserer Praxis finden Sie hier im Überblick.

Untersuchung mit Lupenbrille

Zweimal im Jahr zum Zahnarzt!

Gründliche Untersuchungen des Mundes sind notwendig, um eventuell entstehende Probleme frühzeitig zu erkennen, denn ein Loch im Zahn kann schnell größer werden und dann Schmerzen verursachen. Routinebesuche beim Zahnarzt sollten daher zum Jahresrhythmus gehören wie Ostereiersuchen und Herbstdekoration.

Wie sieht die neue Brücke aus, wenn sie fertig ist? Welche Risiken bestehen bei der Weisheitszahnentfernung? Wir bekommen ein Baby – gibt es schon in der Schwangerschaft Tipps vom Zahnarzt? Individuelle Fragen – individuelle Lösungen. Die gewissenhafte Untersuchung und eingehende anschließende Gespräche bilden in unserer Praxis die wichtige Basis für eine vertrauensvolle Zusammenarbeit.

Lesen Sie hier mehr über unsere modernen Untersuchungsmethoden.

layout_img

layout_img

 

 

 

 

 

layout_img

 

layout_img

 

 

 

 

 

 

 

 

 

 

 

 

layout_img

 

 

Untersuchung mit Lupenbrille

Die zahnärztliche Untersuchung ist die wichtigste Entscheidungsgrundlage zur Erkennung von Erkrankungen, einer entsprechenden Beratung und einer angepassten Therapie. Strukturen und Defekte im Mundbereich sind oft sehr klein.
Der Sichtbefund ist mit einer 3- bis 5-fachen optischen Vergrößerung in jedem Fall präziser als mit dem bloßen Auge und ermöglicht eine schonende und minimalinvasive Behandlung. Diese Vorgehensweise zählt zum Standard unserer Praxis.

 

 

 

 

 

Digitales Röntgen

Digitales Röntgen ist in der modernen Zahnheilkunde mittlerweile Standard. Nicht nur die Zeitersparnis für Sie und uns ist ein wesentlicher Vorteil, auch bietet die digitale Analyse der Bilder große Vorteile gegenüber den analogen (älteren) Röntgenbildern, die auf einem Lichtbetrachter nur so gut wie mit dem Auge möglich ausgewertet wurden. Manche Details sind aber erst mit digitalen Werkzeugen, wie Veränderung von Schärfe und Kontrast sichtbar.

Digitale Speicherfolien sind sehr viel strahlensensibler als analoge Filme, deshalb kann die Strahlenbelastung mit moderner Technik um 90 Prozent gesenkt werden. Wir können uns schnell und unkompliziert mit Kollegen austauschen, denn digitale Bilder brauchen keine Briefmarke. Gerade im Netzwerk mit anderen Experten ist das ein unschlagbarer Vorteil.

Digitale Röntgentechnik produziert viel weniger Müll und ist deshalb umweltfreundlich: Wir müssen keine Bleifolien und nicht mehr literweise giftige Filmentwicklerflüssigkeit in den Sondermüll entsorgen.

 

 

Beurteilung von Zahnfleisch und Mundschleimhaut

Unsere Mundschleimhäute sind sehr sensibel und oftmals ein Spiegel unseres Immunsystems, des Hormonspiegels oder des Ausmaßes von Stress. Zahnfleischentzündungen können auf lokale, aber auch auf größere Probleme, die den ganzen Körper betreffen, hinweisen. Lange ist die Mundschleimhautdiagnostik in der Zahnmedizin vernachlässigt worden. In unserer Praxis gilt: gesund beginnt im Mund!

 

 

 

 

 

Beratung anhand von Planungsmodellen und 3D-Software

Anders als beispielsweise beim neuen Auto ist die optische Darstellung von individuell gefertigtem Zahnersatz sehr schwierig. Wenn Sie eine neue Einrichtung des Esszimmers planen, wissen Sie, wo der Tisch stehen soll, dass die Stühle drumherum kommen, eine Kommode an der Wand und Vorhänge vor den Fenstern geplant sind. Das richtige Bild ergibt sich aber erst beim Einrichten, beim Aufstellen, beim Umräumen. Die neue Möblierung muss zum Raum passen, zum Stil des Hauses, zu Ihnen selbst.

Die erneuernde Umgestaltung der Zahnreihen ist für den Laien ähnlich schwer vorstellbar: wie ist das Verhältnis der Lippenlänge zu den Zähnen, passt die neue Zahnfarbe zu den übrigen Zähnen, sollte eher eine runde oder etwas markantere Zahnform gewält werden?

Dazu kommt die technische Seite: welche Materialien stehen zur Verfügung, welche Alternativen gibt es, was ist denn eigentlich eine Teleskopbrücke? Anhand von individuellen Planungsmodellen und einer speziellen Software können wir versuchen, die erwünschten Ergebnisse sichtbar zu machen, wir können mit Ihnen die Alternativen beraten und Besipiele zeigen. Die finanzielle Investition ist ein weiteres Thema, deren Planung auf viele Patienten intransparent und unverständlich wirkt.

Anhand Ihrer Wünsche und Möglichkeiten erarbeiten wir gemeinsam mit Ihnen ein Behandlungskonzept, dass zu Ihnen passt und erläutern im Vorfeld mit Heil- und Kostenplänen klar und verständlich die einzelnen Komponenten der Investition in Ihre Mundgesundheit.

 

 

Schwangerenberatung, Primärprophylaxe

„Jedes Kind kostet einen Zahn“ hören wir aus dem Munde der erfahrenen Generation… und das hat auch lange Zeit gestimmt. Denn ein heranwachsender Organismus, das werdende Baby braucht viel Kraft, viel „Baumaterial“, das es vom Körper der werdenden Mutter beansprucht. Unter anderem sind dies Bindegewebsbausteine, die zum Wachsen nötig sind. Der geänderte Hormonhaushalt während der Schwangerschaft tut sein Übriges. Eine bewusste Lebensführung und Ernährung sowie perfekte Mundhygiene schützen Schwangere vor häufigen Zahnfleischentzündungen und helfen, ein gesundes Immunsystem während der Schwangerschaft und danach aufrecht zu erhalten. Karies und andere bakterielle Erkrankungen im Mund sind Übrigens Infektionskrankheiten – das Risiko für das Neugeborene, gleich mit ggf. krankmachenden Bakterien angesteckt zu werden, sinkt bei der mundgesunden Mutter erheblich.

Platzhalter

Professionelle Zahnreinigung

Der gesunde Zahnhalteapparat ist die Basis. Unsere Zähne sollten wir täglich zweimal putzen, um sie gesund zu erhalten. Dabei ist es wichtig, die für Sie richtige Technik mit den richtigen Hilfsmitteln anzuwenden. Häufig kommt die Zwischenraumpflege zu kurz und es schleichen sich aufgrund der Routine häufig Fehler ein. In der individuellen professionellen Zahnreinigung werden Sie ausführlich angeleitet und Ihre Zähne optimal gereinigt.

Gesunde Zähne im gesunden Stützgewebe sehen gut aus, tragen zu einem sympathischen Lächeln bei und steigern das positive Lebensgefühl – vor allem im Gespräch und beim Essen. Die Vorteile eines gesunden Mundes auf die Gesamtgesundheit sind immens! Mit der richtigen Pflege und unserer Unterstützung leisten Sie einen einfachen Beitrag zur Senkung von weiteren Risiken, wie Herzinfarkt, Frühgeburt, Diabetes, etc..

Digitales Röntgen

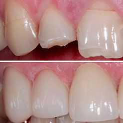
Ästhetische Zahnheilkunde

Kleider machen Leute – Zähne machen Gesichter! Das ist der Leitspruch der Deutschen Gesellschaft für Ästhetische Zahnheilkunde. Bei dieser führenden deutschen Fachgesellschaft hat Dr. Claudia Hoischen im Rahmen einer mehrjährigen Fortbildungsreihe den Tätigkeitsschwerpunkt “Ästhetische Zahnheilkunde” erworben.

Wenn Verfärbungen, Defekte oder Fehlstellungen einzelner Zähne den Eindruck erwecken, dass die komplette Zahnreihe unschön aussieht, kann es den gleichen Anschein erwecken wie ein Orchester, in dem alle harmonisch und wohlklingend miteinander spielen – außer einer lärmenden Trompete, die komplett falsch trötet.

Oftmals können wir in solchen Fällen mit minimalinvasiven Methoden viel erreichen. Selbst ein Lückenschluss zweier zu weit auseinander stehenden Zähne ist mit einer besonderen Füllungstechnik möglich. Mit natürlich nachempfundenen Verblendschalen oder Kronen aus Vollkeramik kann auch bei größeren Defekten ein schönes und gewinnendes Lachen wiederhergestellt werden, das genauso strahlt wie der Rest von Ihnen. Sämtliche Keramikarbeiten werden in unserem hauseigenen Labor hergestellt, denn kurze Wege und die enge Zusammenarbeit mit dem Zahntechniker sind gerade im Bereich der ästhetischen Zahnmedizin unerlässlich.

Die schonende Behandlung der Zahnsubstanz und die Natürlichkeit Ihres Lächelns steht bei allen ästhetischen Korrekturen im Vordergrund.

Untersuchung mit Lupenbrille

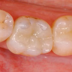
Metallfreie Füllungen, Inlays und Kronen aus Vollkeramik

Durch neue Entwicklungen im Bereich der keramischen Füllungs- und Kronenmaterialien können wir oft auf Metall im Mund verzichten. Die Vorteile von Keramik als Werkstoff sind vielfältig: neben der Ästhetik sprechen vor allem Langlebigkeit, Oberflächengüte und perfekte, dauerhafte Passung für die Verwendung von Keramik in der Zahnheilkunde. Außerdem muss viel weniger Zahnsubstanz beschliffen werden, da die Restaurationen dünner sind – Ihre Zähne werden im Sinne der sanften Zahnheilkunde geschont.

Untersuchung mit Lupenbrille

Wurzelkanalbehandlung

Die gesunden Wurzeln unserer Zähne sind das Fundament für kräftige, belastbare Zähne. Wenn dieses Fundament nicht mehr vorhanden ist, muss der Zahn ersetzt werden. Viel besser ist es jedoch, alles zu geben, um den Zahn zu erhalten. Mit neuesten technischen Mitteln und viel Zuwendung können wir viele – auch schwierige – Fälle lösen. Meistens ist die Behandlung schmerzfrei und viel unbelastender als zuvor gedacht.

Untersuchung mit Lupenbrille

Implantologie

Implantate sind künstliche Zahnwurzeln und können in vielen Fällen helfen: beim Verlust eines einzelnen Zahnes ebenso wie bei der Behandlung zahnloser Kiefer. Beim Einzelzahnersatz können wir durch den Einsatz von einem Implantat das Beschleifen von Nachbarzähnen vermeiden. Beim Ersatz mehrerer Zähne ist es eventuell möglich, herausnehmbarem Zahnersatz aus dem Weg zu gehen. Und Prothesen haben mit Implantaten einen festeren Halt daher einen höheren Tragekomfort – in vielen Fällen kann sogar die lästige Gaumenplatte vermieden werden.

Untersuchung mit Lupenbrille

Oralchirurgie

Viele Patienten haben beim Gedanken an einen chirurgischen Eingriff im Mund ein mulmiges Gefühl. Sie haben von möglicherweise notwendigen Folgeoperationen gehört, von angeschwollenen Wangen, von Störungen der Heilung. Mit besonders schonenden Operationstechniken – sogenannter minimalinvasiver Chirurgie – versuchen wir, diese Begleiterscheinungen zu minimieren. Mit der optischen Vergrößerung durch die Lupenbrille sind wir in der Lage, die Eingriffe so klein wie möglich zu halten. Dies fördert die Heilung und vermindert den Wundschmerz. Zu den einzelnen Themen finden Sie weitere Erläuterungen:

Wurzelspitzenresektionen

Nach Wurzelkanalbehandlungen kann es zu einer Entzündung an der Wurzelspitze kommen, die durch Bakterien und Gewebereste im Wurzelkanalsystem hervorgerufen werden. Mögliche Ursachen sind zu enge oder krumme Kanäle oder Seitenkanäle, eine undichte Wurzelfüllung, ein abgebrochnes Instrument, usw.. Bei der Wurzelspitzenresektion (WSR) wird die Wurzel gekürzt, die Entzündung im Knochen entfernt und die Wurzelfüllung mikroskopisch kontolliert. Sollte diese undicht sein, erfolgt eine Aufbereitung und Abdichtung von der Wurzelspitze ausgehend. Eine minimalinvasive Technik erlaubt eine schnelle und gute Heilung.

 

Weisheitszahnoperationen

Wir essen heute deutlich anders als unsere Vorfahren vor einigen Millionen Jahren, daher brauchen wir nicht mehr so große Kiefer. Durch die evolutionäre Rückentwicklung unserer Kieferknochen haben viele Weisheitszähne keinen Platz mehr. Viele Weisheitszähne liegen falsch und können sogar ein schwer erarbeitetes kieferorthopädisches Ergebnis bedrohen und die geraden Zähne verschieben. Durch minimalinvasive Operationstechniken ist es bei uns möglich, Schwellung und Schmerzen sehr gering zuhalten und so, wenn gewünscht, sogar alle vier Weisheitszähne gleichzeitig zu entfernen.

 

Freilegung verlagerter Zähne (z.B. Eckzähne, Prämolaren)

Wenn während der kieferorthopädischen Behandlung ein Zahn nicht durchbrechen kann, ist es möglich, durch einen kleinen Eingriff den Zahn freizulegen und ein Bracket aufzukleben, welches mit einem Draht an der festsitzenden Klammer provisorisch befestigt wird. Danach kann der Kieferorthopäde langsam und vorsichtig den Zahn einordnen.

 

Lippen und Zungenbändchen

Wenn Lippen- oder Zungenbändchen zu nah an den Zähnen inserieren, kann es zur Lückenstellung der mittleren Schneidezähne kommen. Mit minimalinvasiven OP-Techniken zur Verminderung von Schwellungen und Komplikationen werden diese Bänder operativ verlagert, sodass ein spontaner oder kieferorthopädisch unterstützter Lückenschluss möglich ist.

Untersuchung mit Lupenbrille

Zahnersatz aus unserem Praxislabor

Wenn Zähne ersetzt werden müssen, sind verschiedene Faktoren sehr wichtig: perfekte Funktion, sicherer Halt, Belastbarkeit und Ästhetik. In unserem praxiseigenen Labor wird festsitzender Zahnersatz hergestellt – kurze Wege und Flexibilität sorgen dafür, dass wir kurzfristige Anproben, Farbkorrekturen und Reparaturen zeitnah für Sie erledigen können. Auch die Auswahl der Zahnfarbe ist eine Teamleistung von Zahnarzt, Zahntechniker und Ihnen. Für herausnehmbaren Zahnersatz arbeiten wir je nach Spezialisierung mit externen Fachlabors zusammen.

Platzhalter

Kinderzahnheilkunde

Die Betreuung unserer kleinen Gäste liegt uns besonders am Herzen. Wir wollen Sie langsam, behutsam und spielerisch an den Zahnarztbesuch gewöhnen. Von ganz klein auf können wir gemeinsam mit den Eltern den Grundstein für eine lebenslange Zahngesundheit legen. Vorsorge fängt bei der Ernährung an, geht bei gemeinsamen Zahnputzübungen im Kindergarten weiter und setzt sich in der Individualprophylaxe in unserer Praxis fort. Wenn doch mal ein Löchlein entstanden ist, stellen wir uns auf unsere besonderen Patienten besonders ein – da wird es bei Märchen aus dem Zauberwald manchmal auch spannend. Beim ersten Besuch wird nur geguckt – versprochen!